Hinweis

Für dieses multimediale Reportage-Format nutzen wir neben Texten und Fotos auch Audios und Videos. Daher sollten die Lautsprecher des Systems eingeschaltet sein.

Mit dem Mausrad oder den Pfeiltasten auf der Tastatur wird die jeweils nächste Kapitelseite aufgerufen.

Durch Wischen wird die jeweils nächste Kapitelseite aufgerufen.

Los geht's

Auf dem Weg in die digitale Pathologie

Logo https://spref5.pageflow.io/auf-dem-weg-in-die-digitale-pathologie

Pathologie vor dem Wandel

Nur ein Pathologe kann sicher beurteilen, ob menschliches Gewebe von Krebs befallen ist oder nicht.

Die Verantwortung ist hoch, gleichzeitig erschweren veraltete Vorschriften den Arbeitsalltag. Viele Pathologen stehen kurz vor dem Rentenalter und der Mangel an Nachfolgern macht sich immer stärker bemerkbar.

Digitalisierung und KI könnten einige der Probleme lösen. 
Zum Anfang
Die Mehrheit der Pathologen befundet menschliches Gewebe am Lichtmikroskop. In den Laboren überwiegt die Handarbeit. Nur wenige  Praxen verfügen über digitale Workflows.
Dabei weden die digitalen Möglichkeiten immer besser. Auch zeigen verschiedene Studien: intelligente Algorithmen erkennen Krebszellen schneller und treffsicherer als manch ein Pathologe.

(Beispielstudie:. "Terabyte-scale Deep Multiple Instance Learningfor Classification and Localization in Pathology")

Im Bild Automatisierung bei Prodermpath.

Zum Anfang
0:00
/
0:00
Video jetzt starten
Klaus Griewank weiß, dass ein Pathologe wie er Jahre bis Jahrzehnte braucht, um in seinem Fach richtig gut zu sein. In Rheinland-Pfalz gibt es neben Griewank nur einen weiteren Hautarzt, der histologische Untersuchungen anbietet. Sollte KI nachweislich an dieselbe Treffsicherheit herankommen, wäre es fraglich ob die kostspielige, zeitaufwendige Ausbildung von Pathologen noch erfolgen würde.

Doch was passiert, wenn KI versagt und es Leute wie ihn nicht mehr gibt, fragt er sich.

Video öffnen

Zum Anfang
Zwei Ärzte Dr. Ana Gebing und Prof. Klaus Griewank setzen sich mit der Digitalisierung auseinander. Der eine beobachtet, der andere setzt sie um - gegen zahlreiche Widerstände.
Zum Anfang

Pathologen unter Bedrängnis

Ich bin damit einverstanden, dass mir Diagramme von Datawrapper angezeigt werden. Mehr Informationen
Ansicht vergrößern bzw. verkleinern

Um externe Dienste auszuschalten, hier Einstellungen ändern.

Laut Bundesärztekammer sind über 60 % der aktuell berufstätigen PathologInnen 50 Jahre oder älter; über 23 % sind sogar älter als 60 Jahre. „Wenige Facharztgebiete haben einen höheren Altersdurchschnitt“, sagt  Professor Gunter Haroske vom  Bundesverband der Pathologen.

Voraussichtlich werden also etwa 800 Pathologen über die nächsten 10 Jahre verteilt aufhören zu arbeiten - im Jahr stehen also 80 ausscheidende Pathologen gegenüber rund 60 bis 70 Nachrückern (Laut Pathologenverband ist dies die jährlich Anzahl der FA-Anerkennungen).


Eine gleichbleibende Anzahl von ÄrztInnen bedeutet aber nicht eine gleichbleibende Versorgungszahl. Laut Bundesverband der Pathologen werden für einen ausscheidenden Pathologen/in 1,5 NachrückerInnen benötigt.

Es werden also dringend Wege gesucht, dem drohenden Mangel zu begegnen.
Zum Anfang

Krebsdiagnose

Vollbild
Das Deutsche Krebsforschungszentrum spricht davon, dass Krebs die zweithäufigste Todesursache in Deutschland ist. Aktuell sind ca. 500.000 Menschen an Krebs erkrankt. Im Jahr 2030 könnten es bereits 600.000 sein. Ohne den Befund eines Pathologen kann keine Therapie eingeleitet werden.

Die Anzahl der Pathologen wächst seit etwa 10 Jahren nur noch geringfügig. Die Anzahl der Diagnose-Aufgaben wächst hingegen rasant. Eine präzise und schnelle Diagnostik spielt bei Krebserkrankungen oft eine lebensentscheidende Rolle. Der Trend zur personalisierten Medizin beschert den Pathologen zusätzlich zu den bestehenden morphologischen Aufgaben, weitere Untersuchungen und ein Plus an Laborarbeit


Veraltete Gebührenordnung

In einem pathologischen Labor präparieren Laboranten/Innen Gewebe, das in Arztpraxen oder Krankenhäusern dem Patienten entnommen wurde. Anschließend 'befundet' der Pathologe es, indem er die Zellstrukturen unter dem Mikroskop auf krankhafte Veränderungen hin untersucht. Für die Kassenärztlichen Vereinigung gehören beide Leistungen zusammen und können nur gemeinsam abgerechnet werden. "Der EBM - Einheitlicher Bewertungsmaßstab - regelt detailliert, was zu einer sogenannten 'verpflichtenden vollständigen Leistungserbringung' gehört und wie es vergütet wird", erläutert Dr. Roland Stahl, Pressesprecher der KBV. Das erschwert die Zusammenarbeit mit anderen Patholgie-Laboren und bremst die Digitalisierung. Niedergelassene Ärzte versuchen oft jahrelang ohne Ausfalltage auszukommen.
Abrechnen kann der Arzt außerdem nur, wenn die Leistung an dem Ort seines Kassensitzes erbracht wurde - das schränkt die Nutzung digitaler Methoden weiter ein.

Berufsrecht versus Kassenrecht
 "Es besteht für Ärzte in Deutschland Methodenfreiheit in Diagnostik und Therapie", sagt Prof. Gunter Haroske vom Bundesverband Deutscher Pathologen. Doch nicht alle Kassenärztlichen Vereinigungen (KV) akzeptieren dies. " In der Radiologie kann digital befundet werden, weil die Teleradiologie in der Strahlenschutzverordnung geregelt ist. Für die Pathologie gibt es kein entsprechendes Gesetz", heißt es seitens der Bundes KV.

Zulassungsbeschränkung 
Seit den 90er Jahren gibt es eine Zulassungsbeschränkung für Pathologen, wie auch für andere Kassenärzte. Aktuell wird in einer Bedarfsplanungsreform dieser Verteilungsschlüssel erstmals angepasst. Ob das zu einer Entspannung der Versorgungssituation ländlicher Gebiete führt, wird sich zeigen.

Schließen
Zum Anfang

Hohes Einsparpotenzial

Vollbild
Prof. Gunter Haroske vom Bundesverband der Pathologen hält den Schritt in die Digitalisierung für notwendig, weiß aber auch, dass er vielen Ärzten schwerfällt. "Die Digitalisierung steht in der Pathologie erst am Anfang", sagt er. Haroske leitet die Kommission Digitale Pathologie und die Arbeitsgruppe ‚Semantik' beim Bundesverband. Dort arbeiten Pathologen und IT-ler unter anderem an einer Terminologie, die den digitalen Pathologiebefund für Krebsregister, Tumorzentren, Screeningsoftware, Biobanken, und Zertifizierungsanforderungen verwendbar macht.

Eine Einführung digitaler Workflows, einschließlich der Digitalen Mikroskopie bedeutet einen großen Einschnitt. "Je nach Stand des Labors müssen sie größere Umstellungen in Ausstattung und Pflege des gesamten Workflows vornehmen", so Haroske.

Doch das Einsparpotenzial für Pathologen ist hoch. Das hat der Bundesverband bereits eruiert: "Wir haben Daten aus mehreren Pathologie-Praxen und kamen auf Einsparpotenziale in Höhe von 15 bis 20 Prozent." Trotzdem verläuft die Einführung holperig. "Es gibt zu viele Insellösungen", sagt Haroske. Jedes Krankenhaus mache, was es wolle. Erst mit einer auf Standardisierung beruhenden Interoperabilität profitieren Pathologe und Patient umfassend von der Digitalisierung. Dafür engagiert sich Haroske im Bundesverband. "Der Startschuss in der Politik ist gefallen", sagt Haroske und zählt Initiativen wie das eHealth Gesetz und das Digitale Versorgungsgesetz auf.

Für Praxen, die ihr System umstellen wollen, hat der Pathologenverband Leitfäden für die Validierung von Digitalmikroskop und Scanner sowie für den Digitalen Workflow entwickelt.
Schließen
Zum Anfang
Zum Anfang

Aus der Praxis

Schließen
Vorher/Nacher Ansicht

Vorher/Nachher-Ansicht starten
Dr Klaus Griewank: "Die Kombination Dermatologie und Dermatohistologie bedeutet größtmögliche Autarkie."

Dr. Ana-Maria Gebing: "Das zu sehen, was sich unter der Haut auftut ist wunderschön"
Zum Anfang
Von außen sieht man auf der Haut nur die Rötung, eine Schuppung oder einen hellen Fleck, doch unter dem Mikroskop tut sich eine eigene mikrobiologische Welt auf.
"Es ist faszinierend unter die Haut sehen zu können und die Korrelation nach außen zu erkennen", sagt Dr Ana-Maria Gebing und strahlt dabei.


Ana-Maria Gebing ist vor vielen Jahren als Ärztin nach Deutschland gekommen. Heute hat sie ein eigenes Labor für  Dermatopathologie. Der Weg bis dorthin war hart und hat sie eine Ehe gekostet.


Zum Anfang
Idyllisch zwischen Weiden und Maisfeldern liegt Ana-Maria Gebings Labor Prodermpath. Dahinter, in einer ehemaligen Kornbrennerei, lebt sie mit Mann und Kind. Über den Hof stolzieren Pfauen.

Ana-Maria Gebings Mann Thomas hat Angst um seine Frau. "Fällt sie einmal aus, haben 20 Mitarbeiter ab morgen nichts mehr zu tun", sagt er. Alle technologischen Möglichkeiten, die seine Frau entlasten, sind ihm willkommen. Gerade investiert er mehrere Hunderttausend Euro in eine Multiscananlage.

Wäre es möglich im Vertretungsfall digitale Scans an befreundete Pathologen zu senden, oder in schwerwiegenden Verdachtsfällen auch einmal vom Krankenbett aus zu befunden, könnte die ganze Familie aufatmen.

Thomas Gebing kämpft auf allen Ebenen. "Wird das von der Kassenärztlichen Vereinigung nicht anerkannt, sorge ich dafür, dass Jens Spahn hierher kommt. Die Bundesregierung will die Digitalisierung im Gesundheitswesen, wir machen sie. Er soll dafür sorgen, dass sie auch anerkannt wird."
Zum Anfang
Als niedergelassene Ärztin im ländlichen Raum hat Dr Gebing nur das Recht auf einen halben Sitz. Arbeit hat sie genug für 10 Laborkräfte und 10 weitere Angestellte. Doch einen weiteren Patholgen darf sie laut Verteilungsschlüssel der Kassenärztlichen Vereinigung nicht einstellen. Um ihre Kunden nicht zu verlieren, versucht sie jeden Tag rund 400 Fälle zu befunden.

Pathologie ist ein Entsendegeschäft. Kunden sind die Arztpraxen. Das Labor an das sie ihre Proben entsenden suchen sie sich selbst aus. Könnte 'ihr' Labor keine Proben mehr annehmen, müssten sie ihren Workflow auf die Zusammenarbeit mit einem anderen Labor umstellen. Die Umstellung rückgängig zu machen würde die Ärzte nur Zeit kosten, aber keinen Vorteil bringen.
Also darf es bei den Gebings keinen Ausfall geben.  
Zum Anfang
"Ich habe Rückenprobleme von der einseitigen Haltung", sagt Dr. Gebing. Viele Stunden am Tag verbringt sie in dieser Haltung. In hohem Tempo schiebt sie das dünne Glasplättchen unter dem Objektiv hin und her. Sie ist schnell und konzentriert. Ein Nachlassen der Konzentration ist nicht möglich. "Hinter jeder Probe stehen Schicksale. Das hier ist ein junger Mensch. Er wartet auf seine Diagnose", sagt sie. Jede Diagnose muss stimmen.


Zum Anfang
Dr. Klaus Griewank übernahm  Praxis und Labor eines 67jährigen Kollegen. Nach mehrjähriger erfolgloser Suche nach einem Nachfolger hatte  dieser schon geplant das Labor zu schließen, um endlich in den Ruhestand gehen zu können.

.
Nach verschiedenen beruflichen Stationen - unter anderem in der Hautkrebsforschung in New York und San Francisco - hat Klaus Griewank sein ideales Betätigungsfeld gefunden: „Als Hautarzt mit Zusatzausbildung Dermatohistologie kann ich vieles zusammenbringen: ich sehe meine Patienten, kann operieren, histologisch die Diagnose stellen und die geeignete Therapien durchführen.“ Das Gefühl in vielerlei Hinsicht autark zu sein, gefällt ihm ausgesprochen gut.

Noch scheut er die Investition in ein Digitalmikroskop mit der notwendigen Infrastruktur, da ihm immer noch sein Vorgänger als Entlastung zur Seite steht.
Zum Anfang
0:00
/
0:00
Video jetzt starten
Praxis und Labor von Dr. Klaus Griewank befinden sich in Nieder-Olm bei Köln. Noch arbeitet er konventionell. Im Krankheitsfall vertritt ihn sein Vorgänger. Griewank weiß, dass das keine Dauerlösung ist. Irgendwann wird er das Thema Digitalisierung angehen müssen.

Video öffnen

Zum Anfang
Bei der Diagnose Krebs kommt es auf Zeit an. Muss das fertige Präperat erst verpackt und verschickt werden, um in schwierigen Fällen eine Zweitmeinung einzuholen, geht wertvolle Zeit verloren.

Ein digitales Abbild hingegen kann in Sekunden übertragen werden.
Zum Anfang
0:00
/
0:00
Video jetzt starten
23 % der Pathologen sind älter als 60. Sie werden es sich zweimal überlegen, in neue Technik zu investieren. Zu den Kosten des Digitalmikroskop kommen Investitionen in IT-Systeme, um die digitalen Daten für das Laborinformationssystem verwertbar zu machen.

Video öffnen

Zum Anfang
Die Digitalisierung kann nicht alle Probleme lösen, aber einige. Dr Gebing will ihre Vorteile nutzen und kämpft um Lösungen. Einen anderen Weg sieht sie nicht.
Zum Anfang

Die Digitalisierung

Labor am Limit

Vollbild
Innerhalb von vier Jahren nahm das Auftragsvolumen von Dr Gebing auf geradezu erschreckende Weise zu. Weitere Laborkräfte im ländlichen Raum zu finden, gelang nicht und für einen zusätzlichen Pathologen genehmigte die KV keinen Sitz.
Das Labor in Ellewick ist  bereits mit moderner Technik ausgestattet. Dazu gehört ein IT-System, das ab Probeneingang jeden Arbeitsschritt abbildet: Infos zum Einsender, zum Patienten, zur Probe und dem Befund ebenso wie Infos zu den durchgeführten Antikörpertests. Ein kompletter Raum ist für den Färbeautomat und die künftige Multiscananlage vorgesehen. "Ich beobachte genau, welche Geräte es am Markt gibt", sagt Gebing.

Einsparpotenzial durch Multiscananlage

Gebing suchte intensiv nach weiteren technischen Lösungen. "Wir müssen die Abläufe im Labor so effizient wie möglich gestalten", sagt er. Einen kompletten Arbeitsplatz könnte er einsparen, wenn die Objektträger automatisiert archiviert würden. Das digitale Befunden könnte seine Frau entlasten. "Ich will dass meine Frau ortsunabhängig arbeitet und Patholgen aus entfernten Praxen schnell hinzuziehen kann." Er fand keine Scanner-Anlage, die in der Lage war, das hohe Aufkommen seines Labors über Nacht abzuarbeiten.

Schließen
Zum Anfang

Nach vielen Rückschlägen

Vollbild
Gebing kaufte fünf Digitalmikroskope und beauftragte einen befreundeten Unternehmer die Automatisierung zu entwickeln. "Wenn wir das schaffen, stehen die Ärzte bei uns Schlange", sagt der Betriebswirt und Unternehmer, der immer wieder von befreundeten Ärzten nach seinem Digitalisierungsprojekt gefragt wird. Gebing ist es gewohnt, solange zu tüfteln, bis er eine Lösung findet. 

Per Roboter scannen

Alle Objektträger, die die LaborantInnen im Laufe eines Tages herstellen, sollten von einem Roboter unter die Digitalmikroskope gelegt und von diesen automatisiert eingescannt werden. Die digitalen Bilder sollten anschließend mit den zugehörigen Patientendaten im Archiv und zum Befunden auf dem PC von Dr. Gebing landen.

Technische und rechtliche Probleme

Eine schwierige Aufgabe: Unter den hohen Beschleunigungskräften des Roboters zerbrachen erst die dünnen Objektträger.
Dann gab es keine zusammenpassende Softwarelösung für alle Aufgaben der Anlage. Und ob die Scans tatsächlich dem Realbild des Gewebes unter dem Mikroskop entsprechen, konnte ihm keiner garantieren. "Ich wußte nicht, dass es keine Validierug für die Digitalmikroskope gibt", ärgert sich Gebing. Der Mikroskophersteller Precipoint war ratlos: "Wir haben unsere Mikroskope immer so wie sie sind in die Pathologie verkauft", meinte der Geschäftsführer.  In wessen Verantwortungsbereich liegt es, die Qualität der Scans zu beurteilen? Noch gibt es dazu keine gesetzliche Regelung. Gebing und der Geschäftsführer von Precipoint konnten sich auf eine Validierung der Geräte einigen.
Dann dauerte es Gebing zu lange, eine Archivierungssoftware schreiben zu lassen. "Was habe ich davon, wenn die Anlage hier herumsteht wie ein toter Hund?" Unruhig kontrolliert er die verschiedenen Rahmen, die sich auf dem Monoitor seiner Anlage abzeichnen. Irgendetwas stimmt nicht und er greift zum Telefon, um den Programmierer bei Precipoint anzurufen. Die Scanner müssen erkennen, wo der Zuschnitt des Gewebes aufhört. Doch die sind unregelmäßig und ragen manchmal bis weit an den Rand. "Wenn nur eine Zelle übersehen wird und das eine Krebszelle ist..." Die Folgen möchte sich Thomas Gebing gar nicht ausmalen.

Doch Schritt für Schritt können die Geschäftspartner ein Problem nach dem anderen lösen und die Anlage beginnt zu laufen.
Schließen
Zum Anfang
Einer der Laboranten nimmt die Körbchen aus dem neben der Anlage stehenden  Färbeautomaten, um die Multiscananlage zu befüllen. "Das geht schnell", sagt er. Über eine Rutsche gleiten die Körbchen mit den Objektträgern in den Automaten. Ist die Rutsche voll, kann der Automat die ganze Nacht über scannen, ohne dass ihm das Material ausgeht.
Zum Anfang
Der Kuka-Roboter greift die zerbrechlichen Objektträger vorsichtig und hält sie vor den Codescanner.
Ein wichtiger Schritt, denn über den Code auf dem Objektträger wird das Gewebe eindeutig einem Patienten zugeordnet.
Weder Code noch Datenbank entsprechen einem Standard. Jeder Hersteller programmiert sein eigenes System und so kann ein anderer Pathologe die gläsernen Objektträger nicht in sein System übernehmen. Das erschwert den Austausch untereinander.
Zum Anfang
Der Roboter legt den Objektträger sanft und präzise unter ein freies Mikroskop - technisch ein besonders heikler Schritt. Das Mikroskop fokussiert die Schärfe und beginnt den Objektträger mit einer kleinen Digitalkamera aufzuzeichen. Es entsteht das sogenannte Whole Slide Image (WSI).

Wesentlich ist eine intelligente Software, die erkennen kann, welche Bereiche auf dem Objektträger zum Gewebe gehören, welche nicht.
Zum Anfang
Anschließend greift der Roboter den Objektträger und sortiert ihn in den Archivbehälter rechts.

Der wird am nächsten Morgen aus der Anlage genommen und so wie er ist, in das Archiv des Labors geräumt. Die Archivkästen müssen 10 Jahre lang aufbewahrt werden.

Auch wenn ein digitales Archiv platzsparender wäre und die Bildqualität über die 10 Jahre unverändert bliebe - im Gegensatz zur realen Probe - ist das Aufbewahren der Glasträger gesetzlich vorgeschrieben.
Zum Anfang
Befunden auf Basis 'virtueller Schnitte' macht die Pathologie ortsunabhängig, schneller und für den Arzt ergonomischer. Die Qualität in der Diagnostik steigt, da  für jede Fragestellung der richtige Spezialist beauftragt werden kann und eine Zweitmeinung schneller eingeholt werden kann.
Die Digitalisierung bietet  außerdem für einfache  Laborarbeiten, wie das Archivieren Rationalisierungspotenzial.

Doch hohe Invests, fehlende Standards und große Unsicherheit der Branche gegenüber der Technologie und der rechtlichen Lage bremsen ihren Einzug in Pathologie-Praxen.  
Zum Anfang
0:00
/
0:00
Audio jetzt starten
Dr. Ana-Maria Gebing: "In der Krebsdiagnose ist Zeit das Argument."

Ana-Maria Gebing und Klaus Griewank sind sich mit Gunter Haroske einig, dass ihnen die digitalen Technologien im Alltag helfen würden.
Noch geht es darum, die Voraussetzungen zu schaffen, die Digitalisierung umfassend zu nutzen. Ist dies geschehen, wird sich zeigen, wie groß der Bestandteil ihrer Arbeit ist, den intelligente Systeme übernehmen können.
Ähnlich wie beim autonomen Fahren sind die Systeme mittel- bis langfristig sicher nicht in der Lage, den Menschen zu ersetzen.

Audio öffnen

Zum Anfang
Schließen
Vorher/Nacher Ansicht

Vorher/Nachher-Ansicht starten
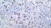
Das Protein Ki67 wird in der Pathologie eingesetzt, um Zellen zu markieren, die sich gerade teilen. Über das Verhältnis von Ki67-positiven Zellen zur Gesamtanzahl der Zellen kann man die Tumorproliferation (Wachstumsgeschwindigkeit des Tumors) bestimmen. Wächst der Tumor schnell, schlägt der Pathologe eine andere Therapie vor, als bei einem sehr langsam wachsenden Tumor.
Dazu muss er allerdings erst die exakte Anzahl der positiven und negativen Zellen bestimmen. Versucht man die Zellen auf dem linken Bild zu zählen, wie es die Mehrheit der Pathologen bis heute tut, zeigt sich schnell, wie groß der Aufwand ist.

Mit einem mathematischen Algorithmus geht das per Knopfdruck. Der Ki67-Algorithmus ist ein Beispiel für eine erprobte Funktion intelligenter Bildverarbeitung, die die Arbeit des Pathologen vereinfacht. "Der Pathologe erhält eine exakte Auskunft zum Verhältnis der Zellen, die sich gerade in Teilung befinden zu den übrigen Zellen", sagt Dr. Stephan Wienert, Software-Entwickler bei PreciPoint. Sein Algorithmus färbt die Ki67-positiven Zellen rot und die Ki67-negativen Zellen grün (siehe rechtes Bild) und kann so in Sekunden die Tumorproliferation angeben.
Zum Anfang
Der Mangel an digitalen Scans ist ein Grund, warum KI in der Pathologie noch nicht genutzt werden kann. 1000de von vergleichbaren Mustern wären nötig, um ein KI-System anzulernen. Da aber nur wenige pathologische Institute digital arbeiten, ist dieses Material schlichtweg nicht vorhanden.

Erschwerend kommt hinzu, dass die Präparate jeweils die Handschrift ihres Labors tragen und in Schnitt und Färbung stark voneinander abweichen. „Die Heterogenität der Labore ist das eine, hinzukommt, dass menschliches Gewebe, sowohl gesundes als auch krankes ebenfalls eine enorme Varianz aufweist.“, sagt der KI-Experte Stephan Wienert. Umso mehr Muster wären als Basis für die KI nötig, doch die müssten erst einmal von den Laboren geliefert werden.   „Ein weiterer Kritikpunkt an KI-Systemen ist, dass der Mensch wissen will, auf welchen Parametern der Tumorscore beruht“, so Wienert. Denn ein KI-System gibt meist nur einen Wert zur Tumorwahrscheinlichkeit aus, aber kann nicht erklären, wie es zu diesem Wert kommt.

An der Lösung dieses Problems arbeitet u.a. eine Gruppe von KI-Wissenschaftler und Pathologen des Berliner Unternehmen AIgnostics. Die Software von AIgnostics erzeugt s.g. Heatmaps, die den Anteil einzelner Pixel am Gesamtergebnis darstellen. Damit lässt sich sehr einfach und schnell überprüfen ob der Algorithmus die richtigen „Stellen“ im Gewebe erkannt hat und das Ergebnis plausibel ist.  

Im Bild ein Screenshot von AIgnostics mit Tumorscore und Anzahl der Lymphozyten, Tumorzellen.
Zum Anfang
Zum Anfang

Einschätzungen von Griewank, Hiroske und Gebing

Im Labor

0:00
/
0:00
Video jetzt starten
"Hier kann ich viel mit meinen Händen arbeiten", sagt die Biologin. Seit zwei Jahren leitet Britta Brockmann das Labor von Dr. Ana-Maria Gebing. Trotz digitalem Workflow dominieren manuelle Tätigkeiten.
Bis vor Eröffnung des Labors lebte sie in Argentinien. Dort forschte sie in der Mikrobiologie. Der Großstadt kehrte sie gerne den Rücken, um wieder in der ländlichen Heimat sein zu können. Sie beherrscht jeden Schritt eines 'Laufes':

Video öffnen

Zum Anfang
Ein 'Lauf' bezeichnet den Weg des menschlichen Gewebes vom Eingang im Labor bis zum fertigen Präperat, das der Pathologin zum Befunden vorgelegt wird. Ein Lauf dauert rund fünf Stunden.

Mehrmals am Tag holen die  Fahrer Gewebeproben aus den Praxen im Umkreis von 100 km.
Patientendaten und klinische Informationen werden in das Informationssystem des Labors eingegeben, eine Labornummer und ein Strichcode-Aufkleber erstellt und auf Gefäß und Begleitformulare geklebt.
Zum Anfang
Jetzt beginnt die Handarbeit. Sie erfordert einiges an Geschicklichkeit. "Die Zuschnitte mache ich gerne", sagt Brita Brockmann. Ob das Gewebe längs oder quer, ob es in zwei, drei oder vier Teile zerlegt wird, dokumentiert die Biologin ganz genau.
Zum Anfang
Entwässert werden die Proben in einem Automaten. Dann folgt wieder Handarbeit. Eine Kollegin von Brockmann platziert die Gewebeproben in kleinen Formen so, dass sie anschließend von allen Seiten mit Parffin umgossen werden können.
Im Labor von Dr. Gebing arbeiten zehn Laboranten/innen. Das sind zu wenig Kräfte. Im ländlichen Raum geeignete Mitarbeiter zu finden ist nicht einfach. "Die Mitarbeiter müssen Vorkentnisse mitbringen", sagt Brockmann. Man sei noch in der Teamfindungsphase.
Zum Anfang
Bevor die Paraffin-Blöcke zerschnitten werden müssen sie aushärten. Das dauert nicht lange.
Brita Brockmann ist als Leiterin des Labors nicht nur für das Team verantwortlich. In ihrem Labor stehen einige Hightechmaschinen, die der technische Leiter Thomas Gebing angeschafft hat.

"Ich habe keine Angst von Automaten ersetzt zu werden. Wir haben soviel Arbeit",  sagt Brockman. Automaten wie die Multiscananlage oder der Färbeautomat nehmen ihrem Team Routinetätigkeiten ab.
Zum Anfang
Nach dem Auskühlen zerschneiden die Laborantinnen den Paraffinblock mit dem Mikrotom in etwa 5µm dicke Schnitte. Dieser Arbeitsschritt erfordert besonderes Feingefühl.

Da das eingebettete menschliche Gewebe nicht gleichmäßig in dem Paraffin-Block verteilt ist, muss  die Laborantin einen großen Teil des hauchdünnen Materials aussortieren und nur die Gewebestreifen ins Wasserbad legen.
Zum Anfang
Die feinen Paraffinstreifen mit der Gewebeschicht schwimmen kurz im Wasserbad, um von dort auf den gläsernen Objektträger aufgenommen zu werden.
Zum Anfang
Das Einfärben der Proben auf dem Objektträger ist laut Brockmann ebenfalls ein spannender Vorgang. "Das interessante an der Immunhistochemie ist zu sehen, an welchen Stellen der Probe die Färbung etwas sichtbar macht", sagt die junge Frau und räumt einige der Fläschchen vom Tisch. Die Flüssigkeiten mit denen sie hantiert, sind teilweise mehrere hundert Euro wert. Sie werden verwendet, um bestimmte Zellbestandteile sichtbar zu machen und daraus Informationen über den Tumor zu gewinnen.
Wie lange Eosin, Hematoxylin, Periodsäure oder andere Ingredenzien dazu brauchen und welche verwendet werden entscheidet Frau Dr. Gebing.
Zum Anfang
Britta Brockmann ist als Laborleiterin auch für die Automaten verantwortlich. Das stört sie nicht. "Herr Gebing will seine Frau entlasten", sagt sie, während sie die Objektträger vorsichtig aus dem Färbeautomaten nimmt und sich zur neuen Anlage wendet. Vor der Technik hat sie keine Angst, steht ein Automat still, ruft sie den Techniker an. Und dass der Automat irgendwann den Job einer MTA machen kann? Sie winkt ab. "Wir haben soviel Arbeit, da braucht keiner Angst haben, ersetzt zu werden", sagt sie.

Die kleinen Körbchen sind schnell eingefüllt und sie geht zurück. "Für uns hat die Digitalisierung auch Vorteile: das lästige Sortieren der Objektträger fällt weg."
Zum Anfang
Eine Multiscananlage besteht aus mehreren Digitalmikroskopen und einer automatisierten Be- und Entlade-Einheit.
Noch gibt es wenige dieser Anlagen auf dem Markt.

Die Objektträger werden von einer Digitalkamera aufgenommen und die Bilder in einer Datenbank des Laborsystems abgelegt. Die Glasträger werden anschließend in einen Archivbehälter einsortiert und ein digitales Register angelegt.
Zum Anfang
An einem großen Bildschirm können am nächsten Tag die digitlen Scans betrachtet werden. Dr. Gebing kann sich dabei bequem zurücklehnen und ihre Brille aufbehalten. "Das ist die Zukunft", sagt sie.
Zum Anfang

Berufsbild

Fernseh-Helden wie Dr. Boerne oder Qincy haben den Beruf populär gemacht.
Doch eigentlich untersucht der Pathologe - im Gegensatz zum Gerichtsmediziner - Zellen und Gewebe von lebenden Menschen. An Hand der präparierten Proben charakterisiert und differenziert er Tumore und Krankheiten. Sogar das biologische Verhalten eines Tumors in der Zukunft und das Ansprechen des Patienten auf die Therapie kann er aus dem Erscheinungsbild der Zellen herauslesen.

Die Weiterbildung zum Pathologen erfolgt nach dem Medizinstudium und dauert sechs Jahre. Insgesamt muss der künftige Pathologe also erst einmal 12 Jahre lernen.

Doch wie auch Dr. Gebing und Dr. Griewank entscheiden sich manche erst nach der Facharztausbildung zu einer Zusatzausbildung zum Haut-Pathologen, die dauert zwei Jahre, womit sie also auf eine Ausbildungsdauer von 14 Jahren kommen.
Zum Anfang
Scrollen, um weiterzulesen Wischen, um weiterzulesen
Wischen, um Text einzublenden